Происшествия

В Кировском округе завершено расследование дела о жестоком обращении с собакой Ставрополь (Кавказ)

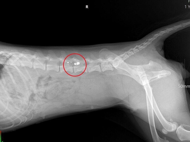
В Кировском округе завершено расследование дела о жестоком обращении с собакой Фото: ГУ МВД по СК

Следственными органами ГУ МВД по Ставропольскому краю завершено расследование уголовного дела о жестоком обращении с животным, совершенном в селе Горнозаводском. Материалы дела переданы в суд для рассмотрения по существу.

Инцидент произошел в конце октября, когда в дежурную часть местного ОМВД обратилась 45-летняя жительница села. Женщина сообщила, что неизвестный мужчина выстрелил в ее собаку, причем происшествие произошло на глазах у детей.

Прибывшие на место сотрудники полиции установили подозреваемого – местного жителя. Мужчина пояснил, что его побудило на такой поступок: по его словам, собака неоднократно душила его кур, свободно гулявших на улице. Также он предположил, что животное является бездомным. Увидев собаку в очередной раз возле своих птиц, фигурант взял винтовку и произвел выстрел.

Хозяева оперативно доставили раненое животное в ветеринарную клинику. Врачи диагностировали у собаки серьезные травмы, приведшие к параличу тазовых конечностей.

Расследование по данному факту велось по статье о жестоком обращении с животными. В настоящее время уголовное дело направлено в суд для дальнейшего рассмотрения и вынесения приговора.

 

Источник: mk.ru

Читайте также

Госавтоинспекция Ставрополья выявила почти 8 тыс. нарушений ПДД за неделю

Прокуратура внесла представление подрядчику за срыв сроков завершения строительства школы в Ставрополе

«СтавропольАгроСоюз» сыграл вничью с футболистами из владикавказской «Алании-М»

До конца года Ставрополье получит 17 новых машин скорой

Более 2,8 тыс. детей на Ставрополье помогла собрать к школе «Единая Россия»

Уборка сахарной свёклы и подсолнечника на Ставрополье выполнена почти на четверть

Предполагаемых организаторов семи незаконных казино на Ставрополье отдадут под суд

На Ставрополье за создание сети подпольных казино осудят 46 участников банды Ставрополь (Кавказ)

На Ставрополье фермер по подложным документам получил 700 тыс. рублей агросубсидий и попал под следствие

Глава Ставрополья поручил проконтролировать качество противопожарной профилактики в крае

Международный фестиваль «Музыкальная осень Ставрополья» пройдёт с 1 по 5 октября

Озимыми культурами на Ставрополье в этом году засеют 2 млн га

Оставить комментарий

83 − = 74

* Используя эту форму, вы соглашаетесь с хранением и обработкой ваших данных этим веб-сайтом.

Новости партнеров

Этот сайт использует файлы cookies и сервисы сбора технических данных посетителей (данные об IP-адресе, местоположении и др.) ОК Подробнее