
Следователь собрал все доказательства вины мужчины, который выстрелил в собаку на глазах у детей в Кировском округе Ставрополья. Материалы переданы в суд, сообщили в ГУ МВД по Ставропольскому краю.
Женщина из села Горнозаводского в октябре пожаловалась в полицию, что сосед расстрелял её собаку. Раненый пёс истекал кровью и волочил ноги на глазах у детей.
Полицейские задержали местного жителя, который объяснил свою жестокость местью. Собака ранее душила его кур, которые гуляли по улице. Он решил, что животное бездомное, и когда снова заметил пса недалеко от стайки кур, выстрелил из винтовки.
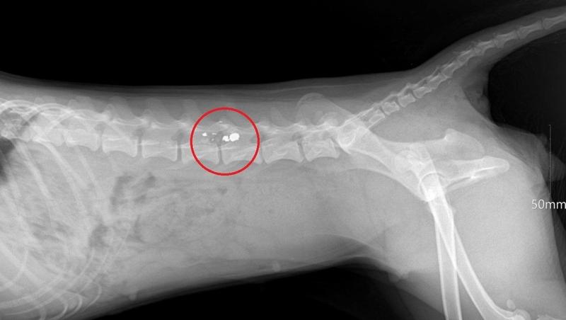
Ветеринары, осмотревшие животное, диагностировали паралич тазовых конечностей.

Дробь попала в позвоночник
Наказание для мстителя выберет суд.
Ранее сообщалось, что в Кисловодске в жестоком обращении с животным подозревают местного жителя, который сувенирной катаной до смерти забил собаку.
Авторы:Анна Радченко
Источник: pobeda26.ru